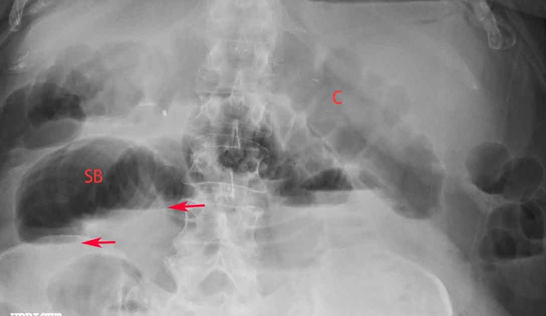
Air Fluid Levels Bowel X Ray . Dilated loops of small or large bowel—obstruction, ileus or inflammation. Loops proximal to the obstruction soon become dilated with air and/or fluid. Large bowel obstruction (lbo) is often impressive on imaging, on account of the ability of the large bowel to massively distend. Intestinal obstruction is a clinical scenario commonly encountered by colorectal surgeons, 1 and it is important to understand. Citation, doi, disclosures and article data. The bowel reacts to a mechanical obstruction in more or less predictable ways. (b) upright abdominal radiograph shows multiple air fluid levels (large and small arrows), fluid levels greater than 2.5 cm (large arrows), and fluid levels of unequal heights. Erect chest radiographs can also be used to screen for.
from ar.inspiredpencil.com
(b) upright abdominal radiograph shows multiple air fluid levels (large and small arrows), fluid levels greater than 2.5 cm (large arrows), and fluid levels of unequal heights. Dilated loops of small or large bowel—obstruction, ileus or inflammation. Erect chest radiographs can also be used to screen for. The bowel reacts to a mechanical obstruction in more or less predictable ways. Large bowel obstruction (lbo) is often impressive on imaging, on account of the ability of the large bowel to massively distend. Intestinal obstruction is a clinical scenario commonly encountered by colorectal surgeons, 1 and it is important to understand. Citation, doi, disclosures and article data. Loops proximal to the obstruction soon become dilated with air and/or fluid.
Small Bowel Obstruction Air Fluid Levels
Air Fluid Levels Bowel X Ray Loops proximal to the obstruction soon become dilated with air and/or fluid. Citation, doi, disclosures and article data. (b) upright abdominal radiograph shows multiple air fluid levels (large and small arrows), fluid levels greater than 2.5 cm (large arrows), and fluid levels of unequal heights. Dilated loops of small or large bowel—obstruction, ileus or inflammation. The bowel reacts to a mechanical obstruction in more or less predictable ways. Loops proximal to the obstruction soon become dilated with air and/or fluid. Erect chest radiographs can also be used to screen for. Large bowel obstruction (lbo) is often impressive on imaging, on account of the ability of the large bowel to massively distend. Intestinal obstruction is a clinical scenario commonly encountered by colorectal surgeons, 1 and it is important to understand.
From stock.adobe.com
Film xray upright abdomen radiograph show small bowel dilatation and Air Fluid Levels Bowel X Ray Erect chest radiographs can also be used to screen for. Citation, doi, disclosures and article data. Large bowel obstruction (lbo) is often impressive on imaging, on account of the ability of the large bowel to massively distend. The bowel reacts to a mechanical obstruction in more or less predictable ways. (b) upright abdominal radiograph shows multiple air fluid levels (large. Air Fluid Levels Bowel X Ray.
From ar.inspiredpencil.com
Small Bowel Obstruction Air Fluid Levels Air Fluid Levels Bowel X Ray Intestinal obstruction is a clinical scenario commonly encountered by colorectal surgeons, 1 and it is important to understand. Citation, doi, disclosures and article data. (b) upright abdominal radiograph shows multiple air fluid levels (large and small arrows), fluid levels greater than 2.5 cm (large arrows), and fluid levels of unequal heights. Erect chest radiographs can also be used to screen. Air Fluid Levels Bowel X Ray.
From healthjade.net
Bowel Obstruction Small & Large Causes, Symptoms, Treatment Air Fluid Levels Bowel X Ray Erect chest radiographs can also be used to screen for. (b) upright abdominal radiograph shows multiple air fluid levels (large and small arrows), fluid levels greater than 2.5 cm (large arrows), and fluid levels of unequal heights. Citation, doi, disclosures and article data. Large bowel obstruction (lbo) is often impressive on imaging, on account of the ability of the large. Air Fluid Levels Bowel X Ray.
From www.stepwards.com
Interpreting An Abdominal XRay (KUB) Stepwards Air Fluid Levels Bowel X Ray Erect chest radiographs can also be used to screen for. Dilated loops of small or large bowel—obstruction, ileus or inflammation. Intestinal obstruction is a clinical scenario commonly encountered by colorectal surgeons, 1 and it is important to understand. Large bowel obstruction (lbo) is often impressive on imaging, on account of the ability of the large bowel to massively distend. Citation,. Air Fluid Levels Bowel X Ray.
From ar.inspiredpencil.com
Small Bowel Obstruction Air Fluid Levels Air Fluid Levels Bowel X Ray The bowel reacts to a mechanical obstruction in more or less predictable ways. Loops proximal to the obstruction soon become dilated with air and/or fluid. (b) upright abdominal radiograph shows multiple air fluid levels (large and small arrows), fluid levels greater than 2.5 cm (large arrows), and fluid levels of unequal heights. Erect chest radiographs can also be used to. Air Fluid Levels Bowel X Ray.
From tuningpp.com
x ray air fluid level Air Fluid Levels Bowel X Ray Citation, doi, disclosures and article data. Large bowel obstruction (lbo) is often impressive on imaging, on account of the ability of the large bowel to massively distend. Erect chest radiographs can also be used to screen for. Loops proximal to the obstruction soon become dilated with air and/or fluid. The bowel reacts to a mechanical obstruction in more or less. Air Fluid Levels Bowel X Ray.
From www.researchgate.net
Ray abdomen showing multiple dilated small bowel loops with air fluid Air Fluid Levels Bowel X Ray Large bowel obstruction (lbo) is often impressive on imaging, on account of the ability of the large bowel to massively distend. Citation, doi, disclosures and article data. Intestinal obstruction is a clinical scenario commonly encountered by colorectal surgeons, 1 and it is important to understand. Dilated loops of small or large bowel—obstruction, ileus or inflammation. Erect chest radiographs can also. Air Fluid Levels Bowel X Ray.
From www.researchgate.net
Abdominal Xray showing air/fluid level, dilated stomach, and Air Fluid Levels Bowel X Ray (b) upright abdominal radiograph shows multiple air fluid levels (large and small arrows), fluid levels greater than 2.5 cm (large arrows), and fluid levels of unequal heights. Dilated loops of small or large bowel—obstruction, ileus or inflammation. Intestinal obstruction is a clinical scenario commonly encountered by colorectal surgeons, 1 and it is important to understand. Large bowel obstruction (lbo) is. Air Fluid Levels Bowel X Ray.
From aydenwetberger.blogspot.com
Dilated Bowel X Ray AydenwetBerger Air Fluid Levels Bowel X Ray Erect chest radiographs can also be used to screen for. The bowel reacts to a mechanical obstruction in more or less predictable ways. Large bowel obstruction (lbo) is often impressive on imaging, on account of the ability of the large bowel to massively distend. Citation, doi, disclosures and article data. Intestinal obstruction is a clinical scenario commonly encountered by colorectal. Air Fluid Levels Bowel X Ray.
From www.alamy.com
Film Xray abdomen upright show small bowel dilated and airfluid level Air Fluid Levels Bowel X Ray Loops proximal to the obstruction soon become dilated with air and/or fluid. (b) upright abdominal radiograph shows multiple air fluid levels (large and small arrows), fluid levels greater than 2.5 cm (large arrows), and fluid levels of unequal heights. Intestinal obstruction is a clinical scenario commonly encountered by colorectal surgeons, 1 and it is important to understand. Citation, doi, disclosures. Air Fluid Levels Bowel X Ray.
From ar.inspiredpencil.com
Small Bowel Obstruction Air Fluid Levels Air Fluid Levels Bowel X Ray (b) upright abdominal radiograph shows multiple air fluid levels (large and small arrows), fluid levels greater than 2.5 cm (large arrows), and fluid levels of unequal heights. Intestinal obstruction is a clinical scenario commonly encountered by colorectal surgeons, 1 and it is important to understand. Large bowel obstruction (lbo) is often impressive on imaging, on account of the ability of. Air Fluid Levels Bowel X Ray.
From radiologyinthai.blogspot.com
RiT radiology AirFluid Levels at Different Heights in the Same Loop Air Fluid Levels Bowel X Ray Citation, doi, disclosures and article data. Erect chest radiographs can also be used to screen for. The bowel reacts to a mechanical obstruction in more or less predictable ways. Loops proximal to the obstruction soon become dilated with air and/or fluid. Large bowel obstruction (lbo) is often impressive on imaging, on account of the ability of the large bowel to. Air Fluid Levels Bowel X Ray.
From geekymedics.com
Abdominal Xray Interpretation (AXR) Radiology OSCE Geeky Medics Air Fluid Levels Bowel X Ray The bowel reacts to a mechanical obstruction in more or less predictable ways. Intestinal obstruction is a clinical scenario commonly encountered by colorectal surgeons, 1 and it is important to understand. Loops proximal to the obstruction soon become dilated with air and/or fluid. Erect chest radiographs can also be used to screen for. Large bowel obstruction (lbo) is often impressive. Air Fluid Levels Bowel X Ray.
From www.researchgate.net
Plain Xray abdomen showing dilated bowel loops, multiple airfluid Air Fluid Levels Bowel X Ray Citation, doi, disclosures and article data. The bowel reacts to a mechanical obstruction in more or less predictable ways. Dilated loops of small or large bowel—obstruction, ileus or inflammation. Erect chest radiographs can also be used to screen for. Large bowel obstruction (lbo) is often impressive on imaging, on account of the ability of the large bowel to massively distend.. Air Fluid Levels Bowel X Ray.
From familyfeud.netlify.app
Air filled loops of bowel Air Fluid Levels Bowel X Ray Large bowel obstruction (lbo) is often impressive on imaging, on account of the ability of the large bowel to massively distend. The bowel reacts to a mechanical obstruction in more or less predictable ways. Intestinal obstruction is a clinical scenario commonly encountered by colorectal surgeons, 1 and it is important to understand. Loops proximal to the obstruction soon become dilated. Air Fluid Levels Bowel X Ray.
From ar.inspiredpencil.com
Small Bowel Obstruction Air Fluid Levels Air Fluid Levels Bowel X Ray (b) upright abdominal radiograph shows multiple air fluid levels (large and small arrows), fluid levels greater than 2.5 cm (large arrows), and fluid levels of unequal heights. Loops proximal to the obstruction soon become dilated with air and/or fluid. Dilated loops of small or large bowel—obstruction, ileus or inflammation. Large bowel obstruction (lbo) is often impressive on imaging, on account. Air Fluid Levels Bowel X Ray.
From www.researchgate.net
X ray of the abdomen showed multiple air fluid levels without any gas Air Fluid Levels Bowel X Ray Loops proximal to the obstruction soon become dilated with air and/or fluid. Citation, doi, disclosures and article data. Intestinal obstruction is a clinical scenario commonly encountered by colorectal surgeons, 1 and it is important to understand. Large bowel obstruction (lbo) is often impressive on imaging, on account of the ability of the large bowel to massively distend. The bowel reacts. Air Fluid Levels Bowel X Ray.
From jarednoel.wordpress.com
Airfluid levels The Boredom Blog Air Fluid Levels Bowel X Ray Erect chest radiographs can also be used to screen for. Large bowel obstruction (lbo) is often impressive on imaging, on account of the ability of the large bowel to massively distend. Loops proximal to the obstruction soon become dilated with air and/or fluid. The bowel reacts to a mechanical obstruction in more or less predictable ways. (b) upright abdominal radiograph. Air Fluid Levels Bowel X Ray.